vitadent-lux.pl

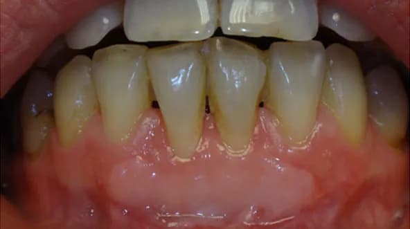
Tag jak zapobiegać cofaniu się dziąseł