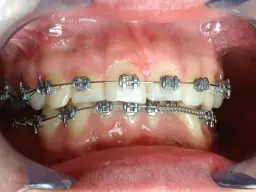
Czy zakładanie aparatu na zęby boli? To pytanie nurtuje wiele osób, które rozważają rozpoczęcie leczenia ortodontycznego. Dobrą wiadomością jest to, że sam proces zakładania aparatu jest całkowicie bezbolesny i nie wymaga znieczulenia. Zabieg polega na przyklejeniu zamków do zębów oraz umieszczeniu w nich drutu ortodontycznego, co odbywa się w sposób bezinwazyjny.
Choć zakładanie aparatu nie jest bolesne, niektórzy pacjenci mogą odczuwać lekki dyskomfort związany z dłuższym otwieraniem ust. Największy dyskomfort może wystąpić dopiero kilka godzin po założeniu aparatu, gdy zęby zaczynają być poddawane siłom korygującym ich ustawienie. Warto zatem wiedzieć, czego się spodziewać, aby przygotować się na ewentualne uczucia po zabiegu.Kluczowe informacje:
- Zakładanie aparatu ortodontycznego jest całkowicie bezbolesne.
- Cały proces trwa około 1,5 godziny.
- Możliwe jest odczucie lekkiego dyskomfortu związanego z otwieraniem ust, ale nie jest to ból.
- Niektórzy pacjenci mogą doświadczyć lekkiego ucisku podczas zabiegu, jednak nie jest to bolesne.
- Po założeniu aparatu może wystąpić niewielki dyskomfort związany z siłą nacisku wywieranej przez aparat na zęby.
Czy zakładanie aparatu na zęby boli? Wyjaśniamy proces bez bólu
Zakładanie aparatu ortodontycznego to bezinwazyjny zabieg, który nie wiąże się z bólem ani koniecznością znieczulenia. Proces ten polega na przyklejeniu zamków do zębów oraz umieszczeniu w nich drutu ortodontycznego. Wiele osób obawia się, że zakładanie aparatu może być bolesne, jednak w rzeczywistości jest to całkowicie bezbolesne doświadczenie.Cały zabieg trwa około 1,5 godziny i jest przeprowadzany w sposób, który minimalizuje dyskomfort. Warto zaznaczyć, że choć sam proces nie jest bolesny, niektórzy pacjenci mogą odczuwać lekki dyskomfort związany z dłuższym otwieraniem ust. To naturalne, zwłaszcza gdy lekarz pracuje przy każdym zębie. Największy dyskomfort pojawia się dopiero kilka godzin po założeniu aparatu, gdy zęby zaczynają być poddawane siłom korygującym ich ustawienie.
Jak przebiega zakładanie aparatu ortodontycznego bez bólu?
Zakładanie aparatu ortodontycznego składa się z kilku kroków. Na początku lekarz ortodonta przygotowuje zęby pacjenta, co może obejmować ich oczyszczenie. Następnie przyklejane są zamki, które są umieszczane na każdym zębie. Po tym etapie lekarz umieszcza drut ortodontyczny w zamkach, co pozwala na stopniowe korygowanie ustawienia zębów. Cały proces jest przeprowadzany z zachowaniem ostrożności i precyzji, co sprawia, że pacjent nie odczuwa bólu.Co czujesz podczas zakładania aparatu na zęby?
Podczas zakładania aparatu na zęby pacjenci doświadczają różnych odczuć, które są zazwyczaj niewielkie. Sam proces jest beznadziejnie bezbolesny, a większość ludzi nie odczuwa bólu. Można zauważyć lekkie uciski, gdy zamki są przyklejane do zębów, ale nie są one na tyle silne, aby wywołać dyskomfort. Ważne jest, aby zrozumieć, że zakładanie aparatu ortodontycznego to procedura, która przebiega w przyjemnej atmosferze, a lekarz ortodonta dba o komfort pacjenta.
Niektórzy pacjenci mogą odczuwać lekki dyskomfort związany z dłuższym otwieraniem ust, co jest naturalne, gdy lekarz pracuje nad każdym zębem. Mimo to, ogólne wrażenia są pozytywne, a pacjenci często są zaskoczeni tym, jak szybko i bezproblemowo przebiega cały proces. Warto pamiętać, że zakładanie aparatu trwa około 1,5 godziny, co sprawia, że jest to stosunkowo krótki czas w porównaniu do korzyści, jakie przynosi leczenie ortodontyczne.

Potencjalny dyskomfort po założeniu aparatu na zęby
Po założeniu aparatu na zęby mogą wystąpić pewne typy dyskomfortu, które są normalną reakcją organizmu na nową sytuację. Najczęściej pacjenci zgłaszają uczucie lekkiego ucisku, które jest wynikiem działania aparatu na zęby. To uczucie jest spowodowane siłą korygującą, która zaczyna działać na zęby, aby je ustawić w odpowiedniej pozycji. Dyskomfort ten zazwyczaj ustępuje po kilku dniach, gdy organizm przyzwyczaja się do nowego urządzenia.
Warto również zaznaczyć, że niektórzy pacjenci mogą odczuwać niewielką słabość lub tkliwość w okolicy zębów, zwłaszcza w pierwszych dniach po założeniu aparatu. Objawy te są zwykle krótkotrwałe i można je złagodzić stosując zimne okłady lub przyjmując leki przeciwbólowe, jeśli zajdzie taka potrzeba. Pamiętaj, że każdy pacjent jest inny, a odczucia mogą się różnić, jednak większość osób szybko przyzwyczaja się do aparatu i uczy się, jak z nim funkcjonować w codziennym życiu.Jakie objawy mogą wystąpić po założeniu aparatu?
Po założeniu aparatu na zęby, pacjenci mogą doświadczyć różnych objawów, które są naturalną reakcją organizmu na nową sytuację. Najczęściej zgłaszane są uczucia tkliwości oraz nacisku w okolicy zębów, które są wynikiem działania aparatu ortodontycznego. Te objawy zazwyczaj pojawiają się w ciągu kilku godzin po zabiegu i mogą utrzymywać się przez kilka dni. Warto podkreślić, że są one zazwyczaj łagodne i ustępują samoistnie.
- Uczucie ucisku na zęby, które może być odczuwane jako niewielki dyskomfort.
- Tkliwość zębów, szczególnie podczas gryzienia lub żucia.
- Wrażliwość na zimne i ciepłe pokarmy, co może być spowodowane zmianą w ustawieniu zębów.
- Podrażnienie błony śluzowej jamy ustnej, które może wystąpić w wyniku kontaktu aparatu z wewnętrznymi częściami policzków.
Jak radzić sobie z dyskomfortem po założeniu aparatu?
Po założeniu aparatu na zęby, wiele osób może doświadczyć dyskomfortu, który jest naturalną reakcją organizmu. Aby złagodzić te odczucia, warto zastosować kilka sprawdzonych strategii. Po pierwsze, stosowanie zimnych okładów na zęby może pomóc w redukcji obrzęku i złagodzeniu bólu. Po drugie, warto rozważyć przyjmowanie leków przeciwbólowych, takich jak ibuprofen czy paracetamol, aby zminimalizować uczucie dyskomfortu. Oprócz tego, zaleca się spożywanie miękkich pokarmów, które nie będą podrażniać zębów ani aparatu. Unikanie twardych i lepkich produktów spożywczych w pierwszych dniach po zabiegu również przyniesie ulgę.
Co mówią pacjenci o bólu podczas zakładania aparatu?
Opinie pacjentów na temat bólu podczas zakładania aparatu ortodontycznego są zazwyczaj pozytywne. Wiele osób podkreśla, że zakładanie aparatu na zęby boli w minimalnym stopniu lub wcale. "Czułem tylko lekkie uciski, ale to było zupełnie do zniesienia," mówi jedna z pacjentek. Inny pacjent dodaje: "Nie miałem żadnego bólu, a sam proces był szybki i sprawny." Warto zauważyć, że pacjenci często są zaskoczeni tym, jak bezbolesny jest cały zabieg, co pomaga im w podjęciu decyzji o leczeniu ortodontycznym.
Jakie są różnice w odczuciach między pacjentami?
Doświadczenia pacjentów w zakresie bólu podczas zakładania aparatu mogą się znacznie różnić. Niektórzy zgłaszają, że odczuwają jedynie lekki dyskomfort, podczas gdy inni mogą czuć większy ucisk. "Dla mnie to było jak delikatne przyciśnięcie, ale moja koleżanka mówiła, że odczuwała więcej napięcia," relacjonuje jeden z pacjentów. Takie różnice mogą być spowodowane indywidualną wrażliwością na ból, a także różnymi technikami stosowanymi przez ortodontów. W rezultacie, każdy pacjent ma unikalne doświadczenie, co wpływa na ich postrzeganie całego procesu zakupu aparatu ortodontycznego.
Jak dbać o aparat ortodontyczny dla lepszych efektów leczenia
Dbając o aparat ortodontyczny, pacjenci mogą znacząco wpłynąć na efektywność leczenia oraz komfort noszenia. Regularna higiena jamy ustnej jest kluczowa, aby zapobiec gromadzeniu się płytki nazębnej wokół zamków i drutów. Używanie szczoteczek międzyzębowych oraz nici dentystycznych pomoże dotrzeć do trudno dostępnych miejsc, co ograniczy ryzyko próchnicy i podrażnień. Warto również zainwestować w płyny do płukania jamy ustnej, które zawierają składniki przeciwdziałające stanom zapalnym oraz wspierające zdrowie dziąseł.
Oprócz dbałości o higienę, pacjenci powinni być świadomi wpływu diety na proces leczenia. Unikanie twardych i lepkich pokarmów nie tylko zmniejsza ryzyko uszkodzenia aparatu, ale także minimalizuje dyskomfort. Wprowadzenie do diety większej ilości miękkich produktów, takich jak jogurty, zupy i puree, może ułatwić przejście przez pierwsze dni po założeniu aparatu. W miarę postępów w leczeniu, warto regularnie konsultować się z ortodontą, aby dostosować plan leczenia do indywidualnych potrzeb i oczekiwań pacjenta.






