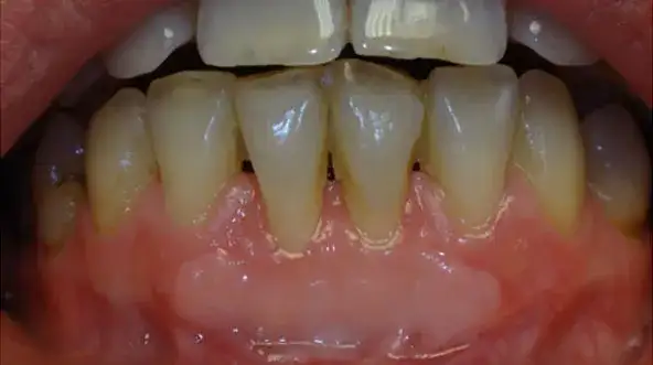
Co na spuchnięte dziąsło? Skuteczne sposoby na ulgę i zdrowie
Skuteczne metody na spuchnięte dziąsła, które przyniosą ulgę i poprawią zdrowie jamy ustnej. Dowiedz się, co na spuchnięte dziąsło może pomóc!
Co na spuchnięte dziąsło? Skuteczne sposoby na ulgę i zdrowie
Skuteczne metody na spuchnięte dziąsła, które przyniosą ulgę i poprawią zdrowie jamy ustnej. Dowiedz się, co na spuchnięte dziąsło może pomóc!
Jak płukać dziąsła szałwią, aby uniknąć problemów z dziąsłami
Dowiedz się, jak płukać dziąsła szałwią, aby skutecznie wspierać zdrowie jamy ustnej i unikać problemów z dziąsłami. Sprawdź nasze sprawdzone metody!
Jaką pastę na krwawiące dziąsła wybrać, by skutecznie pomóc?
Wybierz najlepszą pastę na krwawiące dziąsła, aby skutecznie zmniejszyć objawy i poprawić zdrowie dziąseł. Sprawdź nasze rekomendacje!
Zapalenie dziąseł od czego? Poznaj główne przyczyny i objawy
Poznaj przyczyny zapalenia dziąseł od czego mogą się one pojawić. Zrozum objawy i skutki, aby skutecznie zadbać o zdrowie swojej jamy ustnej.
Czy dziąsła się regenerują? Odkryj prawdę o ich odbudowie i leczeniu
Czy dziąsła się regenerują? Dowiedz się, jakie są metody leczenia recesji dziąseł i jak dbać o ich zdrowie, aby uniknąć poważnych problemów.
Ile trwa zdjęcie szwów z dziąsła? Szybki i bezbolesny zabieg
Ile trwa zdjęcie szwów z dziąsła? Dowiedz się, jak szybko i bezboleśnie przebiega ten zabieg oraz jak dbać o dziąsła po jego zakończeniu.
Skuteczne sposoby na dziąsła: jak złagodzić ból i stan zapalny
Skuteczne metody na dziąsła: poznaj, co na dziąsła stosować, aby złagodzić ból, stan zapalny i wspierać zdrowie jamy ustnej.
Skuteczne sposoby na opuchnięte dziąsła: ulga i pomoc w bólu
Zmagasz się z opuchniętymi dziąsłami? Sprawdź skuteczne metody, które przyniosą ulgę i pomogą w bólu. Dowiedz się, co na opuchnięte dziąsła!
Jak powinno wyglądać dziąsło po wyrwaniu zęba - objawy i komplikacje
Dowiedz się, jak powinno wyglądać dziąsło po wyrwaniu zęba. Poznaj objawy zdrowego gojenia oraz potencjalne komplikacje, na które warto zwrócić uwagę.
Co na ropę w dziąśle? Skuteczne metody łagodzenia bólu i infekcji
Skuteczne metody na ropę w dziąśle. Dowiedz się, jak łagodzić ból i infekcje oraz kiedy skonsultować się z dentystą.
Rak dziąseł objawy – jak rozpoznać wczesne sygnały choroby
Poznaj kluczowe objawy raka dziąseł, takie jak krwawienie czy owrzodzenia. Wczesna diagnoza zwiększa szanse na skuteczne leczenie. Sprawdź teraz!
Jak skutecznie leczyć zapalenie dziąseł w ciąży – bezpieczne metody
Skuteczne metody na zapalenie dziąseł w ciąży. Dowiedz się, co stosować, aby zadbać o zdrowie jamy ustnej w tym ważnym okresie.
Co wzmacnia zęby i dziąsła? Odkryj skuteczne sposoby na zdrowie jamy ustnej
Poznaj skuteczne metody, które wzmacniają zęby i dziąsła. Dowiedz się, jakie produkty i nawyki wpływają na zdrowie jamy ustnej.
Czy zdjęcie szwów z dziąsła boli? Oto co musisz wiedzieć przed wizytą
Czy zdjęcie szwów z dziąsła boli? Dowiedz się, czego się spodziewać, jak wygląda proces usuwania szwów i jak przygotować się do wizyty u dentysty.
Skuteczne sposoby na ból dziąsła przy zębie i jego przyczyny
Skuteczne sposoby na ból dziąsła przy zębie. Poznaj przyczyny, domowe metody łagodzenia bólu i kiedy warto udać się do stomatologa.
Dlaczego dziąsła się cofają i jak temu zapobiec - poznaj przyczyny
Dowiedz się, dlaczego dziąsła się cofają i jakie są ich przyczyny. Poznaj skuteczne metody zapobiegania recesji dziąseł i dbaj o zdrowie jamy ustnej.
Jak usunąć ropę z dziąsła? Skuteczne metody i domowe sposoby
Jak usunąć ropę z dziąsła? Poznaj skuteczne metody leczenia oraz domowe sposoby, które przyniosą ulgę i poprawią zdrowie Twoich dziąseł.
Objawy nowotworu dziąseł – nie bagatelizuj tych niepokojących sygnałów
Poznaj najważniejsze objawy nowotworu dziąseł, które mogą alarmować. Nie bagatelizuj niepokojących sygnałów i zadbaj o swoje zdrowie!
Co zrobić gdy ząb rośnie na dziąśle? Ważne informacje i porady
Zastanawiasz się, co zrobić gdy ząb rośnie na dziąśle? Sprawdź nasze porady dotyczące objawów, leczenia i zapobiegania problemom stomatologicznym.
Skuteczne domowe sposoby na wzmocnienie dziąseł i poprawę zdrowia
Skuteczne domowe sposoby na wzmocnienie dziąseł. Poznaj naturalne metody, które poprawią zdrowie Twojej jamy ustnej i wzmocnią dziąsła.
Od czego puchną dziąsła? Poznaj przyczyny i jak ich unikać
Dowiedz się, od czego puchną dziąsła i jakie są ich przyczyny. Poznaj skuteczne metody, aby uniknąć problemów z dziąsłami i cieszyć się zdrowym uśmiechem.
Dlaczego boli dziąsło po wyrwaniu zęba? Sprawdź, co jest normalne.
Ból dziąsła po wyrwaniu zęba to naturalny objaw. Dowiedz się, co jest normalne i kiedy warto skonsultować się z dentystą, aby uniknąć powikłań.
Co zrobić jak dziąsło odchodzi od zęba - skuteczne metody leczenia
Zastanawiasz się, co zrobić jak dziąsło odchodzi od zęba? Sprawdź skuteczne metody leczenia i dowiedz się, jak dbać o zdrowie jamy ustnej.
Jak długo trwa zapalenie dziąseł? Oto co musisz wiedzieć
Czas trwania zapalenia dziąseł może się różnić. Dowiedz się, ile trwa zapalenie dziąsła i jakie czynniki wpływają na jego leczenie.
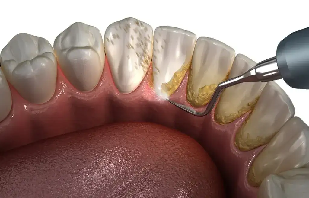
Co na krwawiące dziąsła? Skuteczne metody leczenia i zapobiegania
Skuteczne metody na krwawiące dziąsła: poznaj przyczyny, naturalne płukanki i profesjonalne leczenie, aby cieszyć się zdrowiem jamy ustnej.