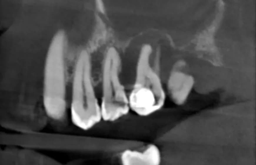
Objawy źle wyleczonego zęba kanałowo – co powinieneś wiedzieć?
Poznaj objawy źle wyleczonego zęba kanałowo. Dowiedz się, jak rozpoznać problemy i kiedy konieczna jest wizyta u dentysty.
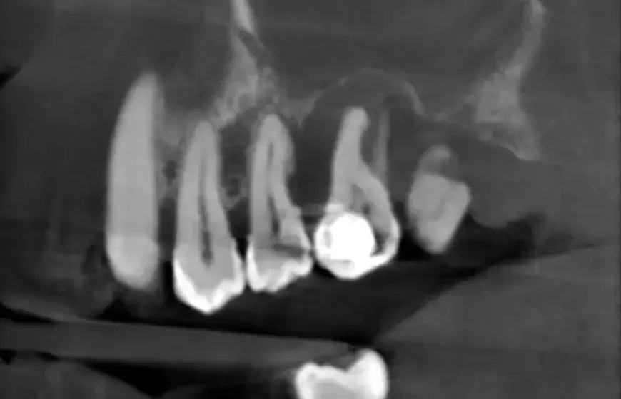
Objawy źle wyleczonego zęba kanałowo – co powinieneś wiedzieć?
Poznaj objawy źle wyleczonego zęba kanałowo. Dowiedz się, jak rozpoznać problemy i kiedy konieczna jest wizyta u dentysty.
Jak nitkować zęby z aparatem, by uniknąć problemów z dziąsłami
Naucz się, jak nitkować zęby z aparatem, aby uniknąć problemów z dziąsłami. Odkryj skuteczne techniki i narzędzia dla lepszej higieny jamy ustnej.
Dlaczego zęby się kruszą? Odkryj przyczyny i jak temu zapobiec
Dowiedz się, dlaczego zęby się kruszą i jakie są najczęstsze przyczyny. Poznaj skuteczne metody zapobiegania problemom z zębami i ciesz się zdrowym uśmiechem.
Ile kosztuje mostek na 3 zęby? Sprawdź ceny i opcje leczenia
Ile kosztuje mostek na 3 zęby? Sprawdź ceny, dostępne opcje leczenia i dowiedz się, jak wybrać najlepsze rozwiązanie dla siebie.
Ile goi się dziąsło po wyrwaniu zęba? Poznaj czas i etapy gojenia
Ile goi się dziąsło po wyrwaniu zęba? Sprawdź, jak długo trwa proces gojenia i jakie etapy przechodzi Twoje dziąsło po zabiegu.
Nakładki na zęby w których można jeść – komfort bez ograniczeń
Nakładki na zęby w których można jeść oferują komfort i wygodę, pozwalając na swobodne spożywanie posiłków bez konieczności ich zdejmowania.
Jak myć zęby kotu - skuteczne metody i porady dla właścicieli
Dowiedz się, jak myć zęby kotu, aby zapobiec problemom stomatologicznym. Poznaj skuteczne metody i porady, które ułatwią codzienną pielęgnację.
Zgorzel zęba objawy – jak je rozpoznać i uniknąć powikłań
Zgorzel zęba objawy to poważne symptomy, które mogą prowadzić do komplikacji. Dowiedz się, jak je rozpoznać i kiedy szukać pomocy dentystycznej.
Z czego są zęby? Odkryj tajemnice ich budowy i funkcji
Poznaj, z czego są zęby i jakie tkanki je budują. Dowiedz się, jak każda z nich wpływa na zdrowie jamy ustnej i funkcje zębów.
Jak wygląda korzeń zęba mlecznego? Odkryj jego tajemnice i znaczenie
Poznaj, jak wygląda korzeń zęba mlecznego oraz jego znaczenie dla zdrowia jamy ustnej. Zrozum, jak dbać o korzenie mleczaków i uniknąć problemów.
Ile kosztują sztuczne zęby? Poznaj ceny i uniknij wysokich wydatków
Ile kosztują sztuczne zęby? Sprawdź ceny protez dentystycznych i dowiedz się, jak obniżyć wydatki na leczenie. Zainwestuj w zdrowie jamy ustnej!
Co oznacza zgrzytanie zębami przez sen i jak temu zapobiec
Dowiedz się, co oznacza zgrzytanie zębami przez sen, jakie są jego przyczyny i jak skutecznie temu zapobiec, aby poprawić jakość swojego snu.
Dinozaur co ma 500 zębów: fascynująca historia nigerzaura
Poznaj fascynującą historię dinozaura co ma 500 zębów, nigerzaura, który żył w kredzie, i jego unikalne cechy anatomiczne oraz zachowania żywieniowe.
Ile korzeni ma ząb? Zaskakujące różnice w budowie zębów
Ile korzeni ma ząb? Sprawdź różnice w budowie zębów i dowiedz się, jak liczba korzeni wpływa na zdrowie jamy ustnej.
Czy po wszczepieniu implantu zęba można iść do pracy bez obaw?
Czy po wszczepieniu implantu zęba można iść do pracy? Dowiedz się, jakie czynniki wpływają na czas powrotu do obowiązków po zabiegu.
Ile kosztuje mostek na zęby? Sprawdź ceny i uniknij wysokich kosztów
Sprawdź, ile kosztuje mostek na zęby i poznaj ceny różnych typów. Uniknij wysokich kosztów i wybierz najlepsze rozwiązanie dla siebie!
Ile nie palić po wyrwaniu zęba, aby uniknąć bólu i komplikacji?
Zastanawiasz się, ile nie palić po wyrwaniu zęba? Dowiedz się, jak długo unikać palenia, aby uniknąć bólu i przyspieszyć gojenie.
Dlaczego ósemki to zęby mądrości i co to oznacza dla zdrowia?
Dowiedz się, dlaczego ósemki to zęby mądrości, jakie mają znaczenie dla zdrowia i jakie problemy mogą powodować w jamie ustnej.
Kolor zębów A1 czy A2 - jak wybrać idealny odcień dla siebie?
Wybierz idealny kolor zębów A1 czy A2, aby uzyskać naturalny uśmiech. Sprawdź, jak dopasować odcień do swojego typu urody i ciesz się pięknym uśmiechem!
Czym skleić protezę zębów? Najlepsze kleje i praktyczne porady
Dowiedz się, czym skleić protezę zębów, jakie kleje są najlepsze i jak je prawidłowo stosować, aby zapewnić sobie komfort i trwałość.
Zęby trzonowe – jakie to zęby i dlaczego są tak ważne dla zdrowia?
Zęby trzonowe, które to kluczowe elementy jamy ustnej, pełnią istotną rolę w zdrowiu. Dowiedz się, dlaczego są tak ważne dla Twojego organizmu!
Czy zęby stałe rosną z wiekiem? Odkryj, co się z nimi dzieje
Czy zęby stałe rosną z wiekiem? Dowiedz się, jak zmieniają się ich struktura i stan oraz jakie problemy mogą wystąpić z upływem lat.
Czy żelazo niszczy zęby? Sprawdź, jak uniknąć przebarwień
Czy żelazo niszczy zęby? Dowiedz się, jak unikać przebarwień i zadbać o zdrowie jamy ustnej podczas suplementacji żelaza.
Co jeść po usunięciu zęba, aby uniknąć bólu i przyspieszyć gojenie
Dowiedz się, co jeść po usunięciu zęba, aby uniknąć bólu i przyspieszyć gojenie. Poznaj najlepsze pokarmy wspierające regenerację i komfort.
Kiedy wychodzą zęby 5 mleczne? Poznaj ważne informacje o teethingu
Dowiedz się, kiedy wychodzą zęby 5 mleczne i jak wygląda proces teethingu. Poznaj istotne informacje, które pomogą Ci zrozumieć ten ważny etap w życiu dziecka.