Ząb 6 ile kanałów? Odkryj, co może zaskoczyć w leczeniu kanałowym
Ile kanałów ma ząb 6? Dowiedz się, jak złożona budowa kanałów wpływa na leczenie kanałowe i co warto wiedzieć o zębie trzonowym.
Ząb 6 ile kanałów? Odkryj, co może zaskoczyć w leczeniu kanałowym
Ile kanałów ma ząb 6? Dowiedz się, jak złożona budowa kanałów wpływa na leczenie kanałowe i co warto wiedzieć o zębie trzonowym.
Przepełnienie kanału zęba objawy: jak rozpoznać i uniknąć bólu
Zidentyfikuj objawy przepełnienia kanału zęba, aby uniknąć bólu i powikłań. Dowiedz się, jak rozpoznać problem i co robić w takiej sytuacji.
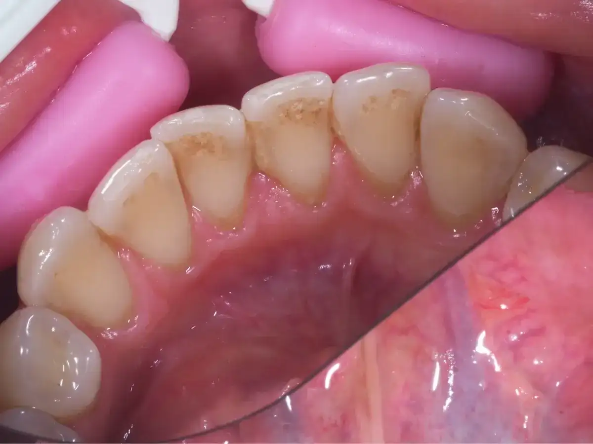
Jak wygląda kamień na zębach? Objawy i skutki zdrowotne
Dowiedz się, jak wygląda kamień na zębach, jakie są jego objawy oraz skutki zdrowotne. Zadbaj o zdrowie jamy ustnej i unikaj problemów!
Jak się nazywa przerwa między zębami i co warto o niej wiedzieć
Dowiedz się, jak się nazywa przerwa między zębami, co ją powoduje oraz jakie są metody leczenia diastemy. Zadbaj o zdrowy uśmiech!
Irygator do zębów jaki wybrać: uniknij błędów przy zakupie
Wybór odpowiedniego irygatora do zębów jaki wybrać? Sprawdź, na co zwrócić uwagę, aby uniknąć błędów i cieszyć się zdrową jamą ustną.
Jak czyścić zęby szczoteczką soniczną, aby uniknąć problemów z dziąsłami
Dowiedz się, jak czyścić zęby szczoteczką soniczną, aby uniknąć problemów z dziąsłami. Odkryj skuteczne techniki i porady dotyczące higieny jamy ustnej.
Oko za oko, ząb za ząb - co naprawdę oznacza ta zasada?
Zrozum znaczenie zasady „oko za oko, ząb za ząb” oraz jej wpływ na sprawiedliwość w dzisiejszym świecie. Odkryj, jak ta maksima kształtuje nasze wartości.
Jak dbać o implanty zębów, aby uniknąć problemów i bólu?
Dowiedz się, jak dbać o implanty zębów, aby uniknąć problemów i bólu. Poznaj skuteczne metody pielęgnacji i utrzymania zdrowia implantów.
Ząb 36 który to: kluczowe informacje o jego roli i lokalizacji
Poznaj ząb 36, jego rolę w jamie ustnej oraz lokalizację. Dowiedz się, jak wpływa na zdrowie i jakie problemy mogą się z nim wiązać.
Jaki kolor zębów wybrać, aby uniknąć sztucznego uśmiechu?
Wybierz idealny kolor zębów, aby uniknąć sztucznego uśmiechu. Dowiedz się, jak dopasować odcień do swojej karnacji i uzyskaj naturalny efekt.
Czy ból zęba zawsze oznacza leczenie kanałowe? Oto prawda o bólu zębów
Czy ból zęba zawsze oznacza leczenie kanałowe? Dowiedz się, kiedy warto skonsultować się z dentystą i jakie są inne możliwe opcje leczenia.
Odrzucenie implantu zęba po jakim czasie? Poznaj kluczowe czynniki
Dowiedz się, po jakim czasie może wystąpić odrzucenie implantu zęba oraz poznaj kluczowe czynniki wpływające na ten proces.
Jak mieć proste zęby bez aparatu? Skuteczne metody i porady
Chcesz wiedzieć, jak mieć proste zęby bez aparatu? Poznaj skuteczne metody i porady, które pomogą Ci osiągnąć wymarzony uśmiech.
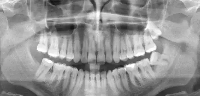
Ile kosztuje zdjęcie panoramiczne zębów? Sprawdź ceny w Polsce
Sprawdź, ile kosztuje zdjęcie panoramiczne zębów w Polsce. Poznaj ceny w różnych miastach i dowiedz się, jakie korzyści niesie to badanie.