Nowotwór dziąseł to poważne schorzenie, które może objawiać się różnorodnymi zmianami w jamie ustnej. Wiele z tych objawów jest początkowo niecharakterystycznych i łatwo bagatelizowanych przez pacjentów, co może prowadzić do opóźnienia w diagnozie i leczeniu. Wczesne objawy, takie jak niewielkie owrzodzenia czy delikatne krwawienie podczas szczotkowania zębów, mogą być mylone z normalnymi podrażnieniami. Dlatego tak ważne jest, aby zwracać uwagę na wszelkie niepokojące sygnały i nie ignorować ich.
W miarę postępu choroby, objawy mogą stać się bardziej zaawansowane i dotkliwe. Silny ból, intensywne krwawienie oraz obrzęk dziąseł to tylko niektóre z nich. Warto znać te objawy, aby móc szybko zareagować i skonsultować się z lekarzem. W tym artykule przyjrzymy się najważniejszym symptomom nowotworu dziąseł oraz czynnikom, które mogą zwiększać ryzyko wystąpienia tej choroby.Najistotniejsze informacje:
- Wczesne objawy nowotworu dziąseł to m.in. owrzodzenia, krwawienie i dyskomfort.
- Zaawansowane objawy mogą obejmować silny ból, obrzęk oraz trudności w jedzeniu.
- Niepokojące zmiany, takie jak twarde guzki czy długotrwałe plamki, wymagają konsultacji lekarskiej.
- Wczesne wykrycie objawów zwiększa szanse na skuteczne leczenie.
- Czynniki ryzyka to m.in. palenie papierosów, genetyka i zła higiena jamy ustnej.
Wczesne objawy nowotworu dziąseł, które mogą alarmować pacjenta
Nowotwór dziąseł może objawiać się różnymi wczesnymi symptomami, które często są bagatelizowane przez pacjentów. Wśród nich znajdują się niewielkie owrzodzenia, które mogą występować na powierzchni dziąseł. Takie owrzodzenia mogą być niebolesne na początku, ale ich obecność powinna budzić niepokój. Często są mylone z normalnymi podrażnieniami, co sprawia, że pacjenci nie zwracają na nie uwagi.
Kolejnym alarmującym objawem jest delikatne krwawienie podczas szczotkowania zębów. Jeśli zauważysz, że twoje dziąsła krwawią, to może być oznaka, że coś jest nie tak. Dodatkowo, lekki dyskomfort w okolicy dziąseł, który trwa dłużej niż kilka dni, również powinien skłonić do wizyty u lekarza. Wczesne rozpoznanie tych objawów może znacząco wpłynąć na dalszy przebieg choroby.
- Niewielkie owrzodzenia na dziąsłach, które mogą być niebolesne.
- Delikatne krwawienie podczas szczotkowania zębów, które nie ustępuje.
- Ogólny dyskomfort w okolicy dziąseł, który trwa dłużej niż kilka dni.
Jakie zmiany w dziąsłach mogą wskazywać na poważny problem?
Zmiany w dziąsłach mogą być sygnałem, że coś jest nie tak. Obrzęk dziąseł to jeden z najczęstszych objawów, który może wskazywać na poważniejszy problem zdrowotny. Obrzęk może być spowodowany stanem zapalnym lub innymi procesami chorobowymi. Warto zwrócić uwagę na to, czy obrzęk jest jednostronny, czy występuje na obu stronach jamy ustnej.
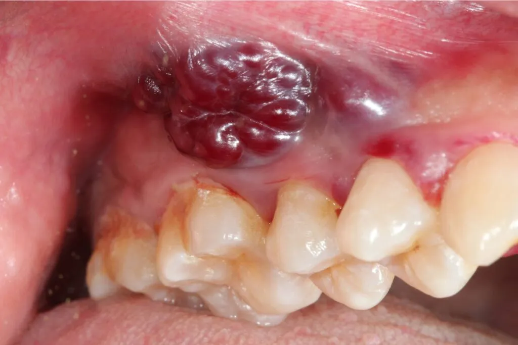
Kolejną niepokojącą zmianą są twarde guzki na dziąsłach. Mogą one być oznaką nowotworowego procesu, zwłaszcza jeśli są twarde i niebolesne. Zmiany w kolorze dziąseł, takie jak pojawienie się białych lub czerwonych plamek, również powinny budzić niepokój. Każda z tych zmian może być sygnałem, że należy jak najszybciej skonsultować się z lekarzem.
| Normalne dziąsła | Dziąsła z problemami |
| Różowy kolor, gładka powierzchnia | Obrzęk, czerwone plamki |
| Brak krwawienia | Krwawienie podczas szczotkowania |
| Brak owrzodzeń | Obecność owrzodzeń |
Zaawansowane objawy nowotworu dziąseł, których nie można zlekceważyć
W miarę postępu nowotworu dziąseł, objawy stają się coraz bardziej poważne i mogą znacząco wpływać na codzienne życie pacjentów. Uporczywy ból w okolicy dziąseł to jeden z kluczowych symptomów, który powinien budzić niepokój. Ten ból często nie ustępuje i może być tak intensywny, że utrudnia normalne funkcjonowanie, w tym jedzenie i mówienie. Ignorowanie tego objawu może prowadzić do poważnych konsekwencji zdrowotnych, dlatego ważne jest, aby nie lekceważyć go.
Kolejnym niebezpiecznym objawem są duże zmiany w obrębie dziąseł, takie jak owrzodzenia czy duże rany, które nie goją się przez dłuższy czas. Te zmiany mogą być oznaką zaawansowanego stanu chorobowego, a ich obecność często wskazuje na konieczność natychmiastowej interwencji medycznej. Dodatkowo, pacjenci mogą doświadczać trudności w jedzeniu oraz połykaniu, co może prowadzić do niedożywienia i innych poważnych problemów zdrowotnych. W przypadku wystąpienia tych objawów, niezbędna jest szybka konsultacja z lekarzem.
Kiedy należy zgłosić się do lekarza z niepokojącymi objawami?
Jeśli zauważysz jakiekolwiek niepokojące objawy związane z dziąsłami, takie jak silny ból, krwawienie, czy trudności w jedzeniu, powinieneś jak najszybciej zgłosić się do lekarza. Ważne jest, aby nie czekać, aż objawy się nasilą, ponieważ wczesna diagnoza może znacząco poprawić rokowania. Zgłoszenie się do specjalisty jest szczególnie istotne, gdy objawy utrzymują się dłużej niż kilka dni. Nie ignoruj również zmian w wyglądzie dziąseł, które mogą sugerować poważne problemy zdrowotne. W przypadku wątpliwości, zawsze lepiej jest skonsultować się z lekarzem.
Czynniki ryzyka nowotworu dziąseł – co warto wiedzieć dla zdrowia?
Istnieje wiele czynników ryzyka, które mogą przyczynić się do rozwoju nowotworu dziąseł. Jednym z najważniejszych jest palenie papierosów. Badania pokazują, że palacze są znacznie bardziej narażeni na rozwój chorób jamy ustnej, w tym nowotworów dziąseł, w porównaniu do osób niepalących. W rzeczywistości, według statystyk, palacze mają około twice the risk of developing gum cancer than non-smokers. Związki chemiczne zawarte w dymie tytoniowym mogą uszkadzać komórki w jamie ustnej, co prowadzi do mutacji i, w konsekwencji, nowotworów.
Innym istotnym czynnikiem jest genetyka. Osoby z rodzinną historią nowotworów jamy ustnej są bardziej narażone na rozwój tej choroby. Oprócz tego, zła higiena jamy ustnej również odgrywa kluczową rolę. Niewłaściwe dbanie o zęby i dziąsła, takie jak rzadkie szczotkowanie czy brak regularnych wizyt u dentysty, może prowadzić do stanów zapalnych, które zwiększają ryzyko nowotworów. Regularne czyszczenie zębów i dbanie o zdrowie jamy ustnej może zatem znacząco zmniejszyć ryzyko wystąpienia nowotworu.- Palenie papierosów: Zwiększa ryzyko o około 200% w porównaniu do niepalących.
- Genetyka: Historia rodzinna nowotworów jamy ustnej podnosi ryzyko.
- Zła higiena jamy ustnej: Niewłaściwe dbanie o zęby prowadzi do stanów zapalnych.
Jak zdrowy styl życia może zmniejszyć ryzyko nowotworu dziąseł
Wprowadzenie zdrowych nawyków do codziennego życia może znacząco wpłynąć na zapobieganie nowotworom dziąseł. Regularne ćwiczenia fizyczne, zdrowa dieta bogata w owoce i warzywa oraz unikanie używek, takich jak papierosy, mogą poprawić ogólny stan zdrowia jamy ustnej. Badania pokazują, że osoby prowadzące aktywny styl życia mają mniejsze ryzyko wystąpienia chorób nowotworowych, w tym nowotworu dziąseł. Warto inwestować w zdrowe nawyki, ponieważ mogą one wspierać układ odpornościowy i pomóc organizmowi w walce z potencjalnymi zagrożeniami.Dodatkowo, regularne wizyty u dentysty oraz stosowanie odpowiednich technik higieny jamy ustnej, takich jak nitkowanie i używanie płynów do płukania ust, mogą znacząco wpłynąć na zdrowie dziąseł. Warto również zwrócić uwagę na stres, który może osłabiać system odpornościowy. Techniki relaksacyjne, takie jak medytacja czy joga, mogą przyczynić się do poprawy zdrowia psychicznego i fizycznego, co z kolei wspiera zdrowie jamy ustnej. Skupienie się na tych aspektach może być kluczowe w walce z ryzykiem nowotworów jamy ustnej.






