Kluczowe informacje:
- Ból dziąsła najczęściej wynika ze stanu zapalnego, który może być spowodowany płytką nazębną lub urazami.
- Objawy, takie jak krwawienie, obrzęk czy nieprzyjemny zapach z ust, wymagają konsultacji z dentystą.
- Domowe sposoby, takie jak płukanki ziołowe czy stosowanie wody utlenionej, mogą przynieść ulgę.
- Regularna higiena jamy ustnej, w tym delikatne szczotkowanie i nitkowanie, jest kluczowa w zapobieganiu bólowi.
- Unikanie twardej i ostrej żywności oraz gorących napojów może pomóc w łagodzeniu dyskomfortu.
Przyczyny bólu dziąsła przy zębie i ich skutki dla zdrowia
Ból dziąsła przy zębie jest powszechnym problemem, który może wynikać z różnych przyczyn. Najczęściej jest to stan zapalny, który prowadzi do dyskomfortu, a w skrajnych przypadkach może prowadzić do poważnych powikłań zdrowotnych. Warto zrozumieć, jakie czynniki mogą przyczyniać się do tego bólu, aby móc skutecznie mu przeciwdziałać.
Wśród głównych przyczyn bólu dziąseł znajdują się nagromadzenie płytki nazębnej, niewłaściwa higiena jamy ustnej oraz urazy mechaniczne. Nieleczony stan zapalny może prowadzić do poważnych problemów, takich jak utrata zębów czy infekcje ogólnoustrojowe. Dlatego tak istotne jest, aby zwracać uwagę na objawy i dbać o zdrowie jamy ustnej.Stan zapalny dziąseł jako główny czynnik bólu
Stan zapalny dziąseł, znany również jako gingivitis, jest jednym z najczęstszych powodów bólu w tej okolicy. Objawia się on zaczerwienieniem, obrzękiem oraz krwawieniem podczas szczotkowania zębów. Jeśli nie zostanie odpowiednio leczony, może przekształcić się w periodontitis, co prowadzi do poważniejszych problemów zdrowotnych, takich jak utrata zębów. Zrozumienie roli stanu zapalnego w bólu dziąseł jest kluczowe dla podejmowania działań zapobiegawczych.
Rola płytki nazębnej w pojawianiu się bólu dziąseł
Płytka nazębna to miękka, lepka warstwa bakterii, która gromadzi się na zębach i dziąsłach. Nagromadzenie płytki może prowadzić do stanu zapalnego, co z kolei wywołuje ból dziąseł. Kiedy płytka nie jest usuwana przez regularne szczotkowanie i nitkowanie, twardnieje, tworząc kamień nazębny, który jest znacznie trudniejszy do usunięcia. W miarę postępu tego procesu, mogą wystąpić objawy takie jak krwawienie, obrzęk i zaczerwienienie dziąseł, co znacząco wpływa na komfort życia.
Jak urazy mechaniczne wpływają na zdrowie dziąseł
Urazy mechaniczne mogą mieć poważny wpływ na zdrowie dziąseł. Na przykład, używanie zbyt twardej szczoteczki do zębów może prowadzić do podrażnienia dziąseł, a w dłuższej perspektywie do ich recesji. Podobnie, niewłaściwie dopasowane protezy mogą powodować otarcia i ból, co skutkuje stanem zapalnym. Takie urazy mogą prowadzić do chronicznego dyskomfortu i poważniejszych problemów zdrowotnych, dlatego ważne jest, aby dbać o odpowiednie dopasowanie i technikę szczotkowania.
Skuteczne domowe sposoby na złagodzenie bólu dziąsła
W przypadku bólu dziąseł istnieje wiele skutecznych domowych sposobów, które mogą przynieść ulgę. Naturalne płukanki, takie jak te z rumianku czy szałwii, wykazują właściwości przeciwzapalne i mogą pomóc w złagodzeniu dyskomfortu. Ponadto, stosowanie roztworu wody utlenionej może działać antybakteryjnie, co również przyczynia się do poprawy stanu zdrowia jamy ustnej. Należy jednak pamiętać, że domowe metody powinny być stosowane jako wsparcie, a nie substytut profesjonalnej opieki stomatologicznej.
Inne popularne metody obejmują stosowanie zimnych okładów, które zmniejszają obrzęk, oraz unikanie twardych i ostrych pokarmów, które mogą podrażniać dziąsła. Regularne płukanie jamy ustnej specjalnymi preparatami, takimi jak płyn GUM® PAROEX® 0,06%, również może przynieść znaczną ulgę. Poniżej przedstawiamy listę skutecznych domowych sposobów na ból dziąsła:
- Płukanka z rumianku - działa przeciwzapalnie i łagodzi ból.
- Płukanka z szałwii - ma właściwości ściągające i przeciwbólowe.
- Roztwór wody utlenionej - łyżka 3-procentowej wody utlenionej w szklance chłodnej wody, działa antybakteryjnie.
- Płyn GUM® PAROEX® 0,06% - skuteczny w łagodzeniu podrażnień i ograniczaniu płytki nazębnej.
- Zimne okłady - zmniejszają obrzęk i przekrwienie tkanek.
Naturalne płukanki ziołowe na ból dziąseł
Naturalne płukanki ziołowe, takie jak napar z rumianku czy szałwii, są doskonałym sposobem na złagodzenie bólu dziąseł. Rumianek ma właściwości przeciwzapalne, co czyni go idealnym rozwiązaniem w przypadku stanów zapalnych dziąseł. Z kolei szałwia działa ściągająco i może pomóc w redukcji obrzęku. Przygotowanie płukanki jest proste: wystarczy zaparzyć zioła w gorącej wodzie, a następnie ostudzić napar do temperatury pokojowej. Regularne stosowanie tych płukanek może przynieść ulgę i poprawić ogólny stan zdrowia jamy ustnej.
Zastosowanie wody utlenionej w leczeniu bólu
Woda utleniona to popularny środek stosowany w celu łagodzenia bólu dziąseł. Aby bezpiecznie z niej skorzystać, należy przygotować roztwór, mieszając jedną łyżkę 3-procentowej wody utlenionej z szklanką chłodnej wody. Taki roztwór działa antybakteryjnie, co pomaga w redukcji stanów zapalnych i bólu. Po przygotowaniu, należy płukać jamę ustną tym roztworem przez około 30 sekund, a następnie wypluć. Ważne jest, aby nie połykać roztworu, ponieważ może to prowadzić do podrażnienia żołądka. Stosowanie wody utlenionej powinno być ograniczone do kilku razy w tygodniu, aby uniknąć nadmiernego podrażnienia błony śluzowej.
Aerozole i preparaty miejscowe na ból dziąseł
Aerozole i preparaty miejscowe to skuteczne rozwiązania w walce z bólem dziąseł. Produkty te często zawierają składniki aktywne, takie jak chlorheksydyna czy benzydamina, które działają przeciwzapalnie i przeciwbólowo. Na rynku dostępne są różne preparaty, które można stosować bez recepty. Na przykład, Oral-B Gum Care Spray jest znany z łagodzenia podrażnień, a GUM® PAROEX® skutecznie zmniejsza obrzęk i krwawienie. Stosowanie tych produktów zgodnie z zaleceniami producenta może znacząco poprawić komfort życia osób cierpiących na ból dziąseł.
| Nazwa produktu | Składniki aktywne | Przeznaczenie |
| Oral-B Gum Care Spray | Chlorheksydyna | Łagodzenie podrażnień |
| GUM® PAROEX® | Chlorheksydyna | Redukcja obrzęku i krwawienia |
| Benzydamina Spray | Benzydamina | Przeciwbólowe działanie miejscowe |
Czytaj więcej: Skuteczne sposoby na spuchnięte dziąsła, które przynoszą ulgę

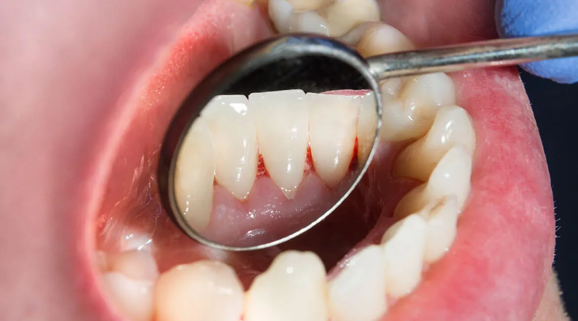
Kiedy warto udać się do stomatologa z bólem dziąsła
W przypadku bólu dziąsła, ważne jest, aby zwracać uwagę na objawy, które mogą wskazywać na konieczność wizyty u stomatologa. Jeśli ból jest silny i nie ustępuje po zastosowaniu domowych metod, warto jak najszybciej skonsultować się z lekarzem. Również krwawienie dziąseł, obrzęk oraz zaczerwienienie mogą być oznakami poważniejszych problemów zdrowotnych, które wymagają profesjonalnej interwencji. Nie należy ignorować także nieprzyjemnego zapachu z ust, gdyż może to świadczyć o infekcji. Wczesna diagnoza i leczenie są kluczowe dla uniknięcia powikłań, takich jak utrata zębów czy rozwój chorób ogólnoustrojowych.
Objawy wymagające natychmiastowej interwencji
Niektóre objawy wymagają natychmiastowej interwencji stomatologicznej. Silny ból dziąsła, który utrzymuje się przez dłuższy czas, może świadczyć o poważnym stanie zapalnym lub infekcji. Krwawienie dziąseł, zwłaszcza podczas szczotkowania, jest również alarmującym sygnałem. Jeśli występują ropnie lub zmiany w tkankach wokół zęba, należy jak najszybciej udać się do dentysty. W przypadku podwyższonej temperatury ciała lub ogólnego złego samopoczucia, również warto skonsultować się z lekarzem, aby wykluczyć poważniejsze schorzenia.
Jak lekarz diagnozuje przyczyny bólu dziąsła
Diagnostyka bólu dziąseł obejmuje kilka kluczowych metod. Lekarz stomatolog rozpoczyna od wywiadu ze pacjentem, aby zrozumieć objawy i historię zdrowia jamy ustnej. Następnie przeprowadza badanie kliniczne, które może obejmować ocenę stanu dziąseł, zębów oraz tkanek miękkich. W niektórych przypadkach, stomatolog może zlecić zdjęcia rentgenowskie, aby ocenić stan zębów i kości. Na podstawie zebranych informacji, lekarz może postawić diagnozę i zaproponować odpowiednie leczenie.
Jak technologia zmienia podejście do leczenia bólu dziąseł
W ostatnich latach technologia znacząco wpłynęła na sposób diagnozowania i leczenia bólu dziąseł. Innowacyjne urządzenia, takie jak skanery 3D oraz tomografia komputerowa, pozwalają stomatologom na dokładniejsze obrazowanie struktur jamy ustnej, co umożliwia wcześniejsze wykrywanie problemów. Dzięki temu lekarze mogą zastosować bardziej spersonalizowane podejście do leczenia, co zwiększa efektywność terapii. Ponadto, telemedycyna staje się coraz bardziej popularna, umożliwiając pacjentom konsultacje z dentystami na odległość, co jest szczególnie korzystne dla osób z ograniczonym dostępem do specjalistów.
Warto również zwrócić uwagę na nowoczesne metody leczenia, takie jak terapia laserowa, która może być stosowana w przypadku stanów zapalnych dziąseł. Lasery pozwalają na precyzyjne usuwanie zainfekowanych tkanek bez konieczności stosowania tradycyjnych narzędzi chirurgicznych, co znacznie zmniejsza ból i czas rekonwalescencji. Przyszłość stomatologii z pewnością przyniesie jeszcze więcej innowacji, które mogą zrewolucjonizować sposób, w jaki podchodzimy do zdrowia jamy ustnej i leczenia bólu dziąseł.






