Wybielanie zębów u dentysty to popularny i skuteczny sposób na poprawę estetyki uśmiechu. Zabieg ten zaczyna się od konsultacji, podczas której stomatolog ocenia stan uzębienia oraz stopień przebarwień. W trakcie wizyty pacjent dowiaduje się, jakie metody wybielania będą dla niego najodpowiedniejsze. Po oczyszczeniu zębów i zabezpieczeniu dziąseł, na zęby nakłada się specjalny preparat wybielający, który aktywowany jest przy pomocy nowoczesnych urządzeń, takich jak lampa LED czy laser.
Wybielanie zębów jest procesem bezbolesnym, a efekty mogą utrzymywać się od kilku miesięcy do kilku lat, w zależności od wybranej metody oraz stylu życia pacjenta. Warto jednak pamiętać, że po zabiegu zaleca się stosowanie tzw. „białej diety”, aby zachować osiągnięte rezultaty. W tym artykule przyjrzymy się bliżej poszczególnym etapom wybielania zębów w gabinecie dentystycznym oraz jego długotrwałym efektom.
Kluczowe wnioski:
- Wybielanie zębów u dentysty rozpoczyna się od konsultacji i oceny stanu uzębienia.
- Procedura obejmuje oczyszczenie zębów, nałożenie preparatu wybielającego oraz jego aktywację za pomocą lampy LED lub lasera.
- Cały zabieg trwa od 1 do 1,5 godziny i jest bezbolesny, choć może wystąpić krótkotrwała nadwrażliwość zębów.
- Efekty wybielania mogą utrzymywać się od kilku miesięcy do kilku lat, w zależności od zastosowanej metody i dbałości o zęby po zabiegu.
- Po zabiegu zaleca się stosowanie „białej diety”, aby uniknąć barwiących produktów.
Jak wygląda proces wybielania zębów u dentysty? Zrozumienie kroków
Proces wybielania zębów u dentysty zaczyna się od ważnej konsultacji, która ma na celu ocenę stanu uzębienia pacjenta oraz stopnia przebarwień. Podczas tej wizyty stomatolog zbiera informacje o zdrowiu jamy ustnej, aby upewnić się, że pacjent jest odpowiednim kandydatem do zabiegu. Oprócz oceny wizualnej, mogą być również wykonane dodatkowe badania, aby zrozumieć, jakie metody wybielania będą najskuteczniejsze.
Po zakończeniu konsultacji, przystępuje się do właściwego zabiegu. Wybielanie zębów odbywa się w kilku krokach: najpierw zęby są dokładnie oczyszczane i polerowane, a następnie stomatolog zabezpiecza dziąsła specjalnym koferdamem lub płynem ochronnym. Na zęby nakłada się preparat wybielający, który aktywowany jest za pomocą lampy LED lub lasera. Cały proces trwa od 1 do 1,5 godziny i składa się z kilku cykli, w których żel jest nałożony, naświetlany, a następnie zmywany, aby nałożyć nową warstwę.
Konsultacja i ocena stanu uzębienia przed zabiegiem
Podczas konsultacji stomatolog przeprowadza szczegółowy wywiad z pacjentem, aby ocenić jego stan zdrowia oraz potrzeby. Ważne jest, aby lekarz zrozumiał, jakie są oczekiwania pacjenta i czy nie ma przeciwwskazań do wykonania zabiegu. Stomatolog ocenia również, czy występują jakiekolwiek problemy z zębami lub dziąsłami, które mogą wpłynąć na bezpieczeństwo i skuteczność wybielania.
Jak przebiega zabieg wybielania zębów krok po kroku?
Sam zabieg wybielania zębów obejmuje kilka kluczowych kroków. Na początku zęby są dokładnie oczyszczane z osadów i kamienia nazębnego, co zapewnia lepszą przyczepność preparatu wybielającego. Następnie stomatolog zabezpiecza dziąsła, aby uniknąć ich podrażnienia. Po tym etapie na zęby nakłada się specjalny preparat wybielający, który często zawiera nadtlenek wodoru. W celu aktywacji żelu stosuje się lampy LED lub lasery, co przyspiesza proces wybielania. Cały zabieg może być powtarzany w kilku cyklach, co pozwala na uzyskanie pożądanych efektów.
Jakie metody wybielania zębów stosują dentyści? Porównanie skuteczności
Wybielanie zębów to popularny zabieg, który dentyści przeprowadzają przy użyciu różnych metod. Najczęściej stosowane techniki to wybielanie zębów z użyciem lampy LED, wybielanie laserowe oraz wybielanie chemiczne z wykorzystaniem preparatów zawierających nadtlenek wodoru. Każda z tych metod ma swoje unikalne właściwości oraz zalety, które mogą być lepiej dopasowane do indywidualnych potrzeb pacjentów.
Porównując skuteczność tych metod, można zauważyć, że wybielanie zębów z użyciem lampy LED jest szybkie i efektywne, szczególnie w przypadku zębów z umiarkowanymi przebarwieniami. Z kolei wybielanie laserowe oferuje głębsze i dłużej utrzymujące się efekty, ale może być droższe. Wybielanie chemiczne może być mniej kosztowne, lecz efekty mogą być mniej widoczne i wymagają dłuższego czasu na uzyskanie pożądanych rezultatów. Wybór odpowiedniej metody powinien być uzależniony od stanu uzębienia pacjenta oraz jego oczekiwań.
| Metoda | Zalety | Wady |
|---|---|---|
| Wybielanie zębów z użyciem lampy LED | Szybkie efekty, minimalna ingerencja | Może nie działać na intensywne przebarwienia |
| Wybielanie laserowe | Długotrwałe efekty, głębokie wybielenie | Wyższy koszt, wymaga więcej czasu |
| Wybielanie chemiczne | Mniej widoczne efekty, dłuższy czas zabiegu |
Wybielanie zębów z użyciem lampy LED – zalety i efekty
Wybielanie zębów z użyciem lampy LED to jedna z najpopularniejszych metod stosowanych w gabinetach dentystycznych. Proces ten polega na nałożeniu preparatu wybielającego na zęby, który następnie jest aktywowany przez światło LED. Ta metoda jest ceniona za szybkość i efektywność, ponieważ efekty można zauważyć już po pierwszej sesji. Warto dodać, że wybielanie lampą LED jest bezpieczne i nie powoduje dużego dyskomfortu, co czyni je atrakcyjną opcją dla pacjentów.
Wybielanie zębów laserem – co warto wiedzieć?
Wybielanie laserowe to zaawansowana technika, która zapewnia głębsze i bardziej trwałe efekty. Podczas tego zabiegu na zęby nakłada się preparat wybielający, który jest następnie aktywowany przez laser. Ta metoda jest szczególnie skuteczna w przypadku intensywnych przebarwień, ponieważ światło lasera penetruje głębiej w strukturę zęba. Choć wybielanie laserowe może być droższe niż inne metody, jego efekty są często bardziej zadowalające i długotrwałe.
Jakie są efekty wybielania zębów u dentysty? Oczekiwania i rzeczywistość
Efekty wybielania zębów u dentysty mogą być bardzo zadowalające, ale warto mieć realistyczne oczekiwania. Po zabiegu pacjenci zazwyczaj zauważają znaczną poprawę koloru zębów, które mogą stać się jaśniejsze nawet o 5–16 odcieni, w zależności od zastosowanej metody oraz stanu uzębienia. Wiele osób cieszy się z efektu białego uśmiechu, co wpływa na ich pewność siebie i ogólne samopoczucie. Jednakże, wyniki mogą się różnić w zależności od indywidualnych cech pacjenta oraz rodzaju przebarwień.
Trwałość efektów wybielania zębów jest różna, ale zazwyczaj wynosi od kilku miesięcy do nawet dwóch lat. Na dłuższe utrzymanie rezultatów wpływają takie czynniki jak styl życia, dieta oraz nawyki higieniczne. Osoby, które palą papierosy, piją dużo kawy, herbaty lub czerwonego wina, mogą zauważyć szybsze przebarwienia. Dlatego zaleca się regularne kontrole u stomatologa oraz przestrzeganie zasad higieny jamy ustnej, aby maksymalnie wydłużyć efekty wybielania.
Jak długo utrzymują się rezultaty wybielania zębów?
Trwałość efektów wybielania zębów może być różna w zależności od wielu czynników. Generalnie, wyniki mogą utrzymywać się od 6 miesięcy do 2 lat. Kluczowe znaczenie ma dbałość o zęby po zabiegu. Osoby, które przestrzegają zaleceń dentysty oraz unikają produktów barwiących, mogą cieszyć się bielszym uśmiechem przez dłuższy czas. Dodatkowo, regularne wizyty u dentysty mogą pomóc w utrzymaniu efektów wybielania, a także wczesnym wykryciu ewentualnych problemów z uzębieniem.
Czego unikać po zabiegu, aby zachować efekty?
Aby utrzymać efekty wybielania zębów, warto unikać pewnych produktów i nawyków. Przede wszystkim, zaleca się ograniczenie spożycia napojów barwiących, takich jak kawa, herbata, czerwone wino oraz napojów gazowanych. Ponadto, palenie papierosów również przyczynia się do szybszego przebarwienia zębów. Warto również stosować tzw. „białą dietę”, która polega na jedzeniu produktów, które nie mają intensywnych barwników. Odpowiednia higiena jamy ustnej, w tym regularne szczotkowanie i używanie nici dentystycznej, również pomoże w utrzymaniu efektów.
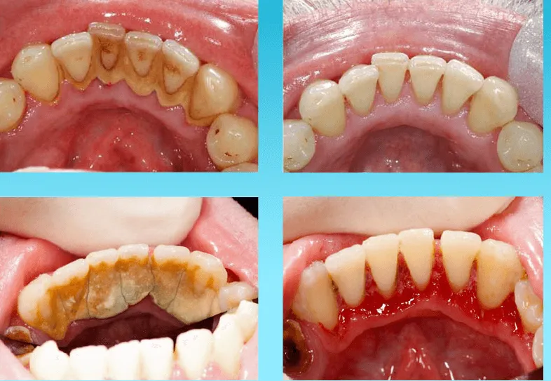
Jakie są potencjalne skutki uboczne wybielania zębów? Co musisz wiedzieć
Wybielanie zębów, mimo że jest powszechnie stosowane, może wiązać się z pewnymi skutkami ubocznymi. Najczęściej zgłaszanym problemem jest nadwrażliwość zębów, która może wystąpić po zabiegu. Pacjenci mogą odczuwać ból lub dyskomfort podczas jedzenia lub picia, zwłaszcza gdy spożywają zimne lub gorące napoje. Inne potencjalne skutki uboczne to podrażnienie dziąseł, które może wystąpić, gdy preparat wybielający dostanie się na tkanki miękkie, a także nierównomierne efekty wybielania, które mogą prowadzić do nieestetycznych plam na zębach.
Ważne jest, aby pacjenci byli świadomi tych możliwych reakcji i wiedzieli, jak sobie z nimi radzić. Jeśli wystąpi nadwrażliwość, można zastosować pasty do zębów przeznaczone dla osób z wrażliwymi zębami, które pomagają złagodzić dolegliwości. Ponadto, unikanie ekstremalnych temperatur w jedzeniu i piciu przez kilka dni po zabiegu może przynieść ulgę. W przypadku podrażnienia dziąseł, stosowanie żeli lub płukanek łagodzących może być pomocne. Warto również skonsultować się ze stomatologiem, jeśli objawy nie ustępują, aby ocenić sytuację i podjąć odpowiednie kroki.
Nadwrażliwość zębów po zabiegu – jak sobie z tym radzić?
Nadwrażliwość zębów to jeden z najczęstszych problemów, które mogą wystąpić po wybielaniu zębów. Pacjenci często odczuwają dyskomfort podczas jedzenia i picia, szczególnie zimnych lub gorących napojów. Aby złagodzić te dolegliwości, warto stosować pasty do zębów dla osób z nadwrażliwością, które zawierają składniki minimalizujące ból. Dodatkowo, unikanie ekstremalnych temperatur przez kilka dni po zabiegu może pomóc w zmniejszeniu dyskomfortu. W przypadku silnego bólu, należy skontaktować się ze stomatologiem, aby omówić dalsze kroki i ewentualne leczenie.
Inne możliwe skutki uboczne wybielania zębów
Oprócz nadwrażliwości, wybielanie zębów może wiązać się z innymi skutkami ubocznymi. Podrażnienie dziąseł to częsty problem, który występuje, gdy preparat wybielający dostanie się na tkanki miękkie. Może to prowadzić do zaczerwienienia, obrzęku lub bólu w okolicy dziąseł. Ponadto, niektórzy pacjenci mogą zauważyć nierównomierne efekty wybielania, co skutkuje plamami lub różnicami w odcieniu zębów. Ważne jest, aby pacjenci byli świadomi tych potencjalnych skutków ubocznych i konsultowali się z dentystą w przypadku wystąpienia jakichkolwiek niepokojących objawów.

Jak dbać o zęby po wybielaniu? Praktyczne porady dla pacjentów
Po wybielaniu zębów niezwykle ważne jest, aby odpowiednio dbać o zęby, aby utrzymać uzyskane efekty. Kluczowe jest przestrzeganie zasad higieny jamy ustnej, co obejmuje regularne szczotkowanie zębów dwa razy dziennie oraz stosowanie nici dentystycznej. Dodatkowo, warto zainwestować w pasty do zębów przeznaczone dla osób z wrażliwymi zębami, które mogą pomóc zminimalizować ewentualny dyskomfort. Regularne wizyty u stomatologa również są istotne, ponieważ pozwalają na monitorowanie stanu uzębienia i wczesne wykrycie ewentualnych problemów.
W kontekście diety, po zabiegu zaleca się unikanie produktów, które mogą powodować przebarwienia. W szczególności, warto ograniczyć spożycie kawy, herbaty, czerwonego wina oraz napojów gazowanych. Zamiast tego, dobrze jest sięgać po białe produkty, takie jak mleko, jogurt czy ryż, które nie mają intensywnych barwników. Warto również pić dużo wody, co pomoże w utrzymaniu świeżości i czystości jamy ustnej. Poniżej znajduje się lista produktów, których należy unikać po wybielaniu:
- Kawa i herbata
- Czerwone wino
- Napoje gazowane
- Buraki i jagody
- Cytrusy, które mogą erodować szkliwo
Co to jest „biała dieta” i jak ją stosować?
Biała dieta to termin odnoszący się do diety, która polega na unikaniu produktów barwiących zęby. Po wybielaniu zębów zaleca się stosowanie tej diety, aby zachować efekty zabiegu na dłużej. W ramach białej diety należy spożywać żywność o jasnych kolorach, taką jak ryż, makaron, kurczak, ryby, białe pieczywo oraz nabiał. Unikanie ciemnych i intensywnie barwiących produktów pomoże w ochronie uzyskanej bieli zębów. Stosowanie białej diety przez pierwsze dni po wybielaniu jest kluczowe dla utrzymania efektów.
Jakie produkty spożywcze mogą wpływać na trwałość efektów?
Niektóre produkty spożywcze mogą znacząco wpływać na trwałość efektów wybielania zębów. Napoje takie jak kawa, herbata i czerwone wino są znane z tego, że mogą powodować przebarwienia. Ponadto, ciemne owoce, takie jak jagody, buraki i granaty, również mogą negatywnie wpłynąć na kolor zębów. Dodatkowo, cytrusy, mimo że zdrowe, mogą erodować szkliwo, co również może prowadzić do szybszego pojawiania się przebarwień. Dlatego warto być świadomym tych produktów i ograniczać ich spożycie, aby jak najdłużej cieszyć się białym uśmiechem.
Jak technologia wpływa na przyszłość wybielania zębów?
W miarę jak technologia rozwija się, wprowadza nowe możliwości w dziedzinie wybielania zębów. Przykładem jest zastosowanie inteligentnych urządzeń, które monitorują stan zębów pacjenta oraz efekty wybielania w czasie rzeczywistym. Takie technologie mogą dostarczać danych na temat wrażliwości zębów oraz sugerować, kiedy i jak często należy przeprowadzać zabiegi, aby uzyskać optymalne rezultaty. Dzięki temu pacjenci mogą lepiej dostosować swoje nawyki higieniczne i dietę, co w efekcie prowadzi do dłuższego utrzymania efektów wybielania.
Co więcej, przyszłość może przynieść innowacyjne preparaty wybielające, które będą bardziej skuteczne, a jednocześnie mniej inwazyjne. Badania nad nowymi składnikami chemicznymi oraz ich kombinacjami mogą prowadzić do powstania produktów, które nie tylko wybielają zęby, ale również wzmacniają szkliwo i redukują nadwrażliwość. Warto być na bieżąco z tymi trendami, aby móc korzystać z najnowszych osiągnięć w dziedzinie stomatologii estetycznej i zapewnić sobie zdrowy, piękny uśmiech przez długie lata.






