
Zastanawiasz się, co oznacza sen o dentyście? Poznaj jego symbolikę, lęki i emocje, które mogą wpływać na Twoje życie codzienne.

Zastanawiasz się, co oznacza sen o dentyście? Poznaj jego symbolikę, lęki i emocje, które mogą wpływać na Twoje życie codzienne.

Dowiedz się, jak dbać o jamę ustną niemowlaka, aby uniknąć problemów zdrowotnych. Poznaj skuteczne techniki i najlepsze pokarmy dla zdrowych zębów.

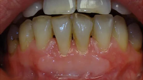
Dowiedz się, dlaczego dziąsła się cofają i jakie są ich przyczyny. Poznaj skuteczne metody zapobiegania recesji dziąseł i dbaj o zdrowie jamy ustnej.

Czy po wszczepieniu implantu zęba można iść do pracy? Dowiedz się, jakie czynniki wpływają na czas powrotu do obowiązków po zabiegu.

Szukasz, gdzie kupić szczoteczkę soniczną Dermofuture? Sprawdź najlepsze oferty online i wybierz idealny model dla siebie!

Ile kosztuje znieczulenie u dentysty na NFZ? Dowiedz się, że to całkowicie darmowe dla ubezpieczonych pacjentów! Sprawdź szczegóły i zyskaj komfort.

Dowiedz się, jakie są najlepsze opcje żywieniowe przy aparacie na zęby, aby uniknąć bólu i uszkodzeń. Sprawdź, co jeść, aby dbać o zdrowie jamy ustnej!

Szukasz najlepszej szczoteczki sonicznej? Sprawdź kluczowe cechy, porównania modeli i opinie użytkowników, aby dokonać najlepszego wyboru.

Jak usunąć ropę z dziąsła? Poznaj skuteczne metody leczenia oraz domowe sposoby, które przyniosą ulgę i poprawią zdrowie Twoich dziąseł.

Sprawdź, ile kosztuje mostek na zęby i poznaj ceny różnych typów. Uniknij wysokich kosztów i wybierz najlepsze rozwiązanie dla siebie!