
Czy dentysta widzi że ktoś pali? Oto co może zauważyć w jamie ustnej
Dowiedz się, czy dentysta widzi że ktoś pali i jakie objawy palenia mogą być zauważalne w jamie ustnej. Zadbaj o swoje zdrowie!

Dowiedz się, czy dentysta widzi że ktoś pali i jakie objawy palenia mogą być zauważalne w jamie ustnej. Zadbaj o swoje zdrowie!

Ile zarabia dentysta prywatnie? Sprawdź, jakie są średnie wynagrodzenia oraz czynniki wpływające na dochody stomatologów w Polsce.

Dowiedz się, jak wyglądają opuchnięte dziąsła u niemowlaka, jakie objawy mogą towarzyszyć ząbkowaniu oraz kiedy warto skonsultować się z lekarzem.

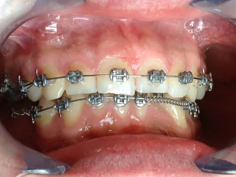
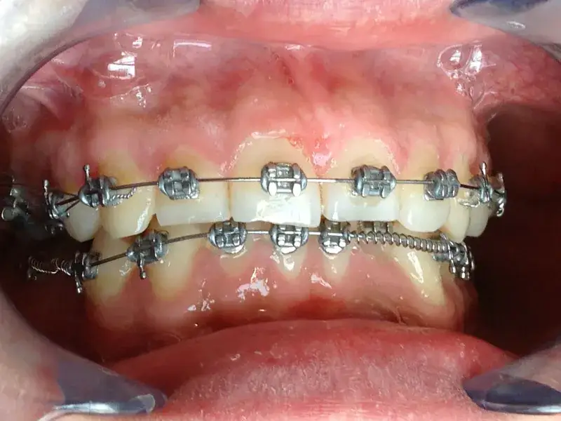
Wybór odpowiedniego aparatu na zęby może zminimalizować ból i koszty. Sprawdź, jakie opcje są najlepsze dla Ciebie i jak poprawić komfort leczenia.

Skuteczne metody na pieczenie w jamie ustnej jak leczyc. Dowiedz się, jak poprawić komfort i zdrowie jamy ustnej dzięki prostym zmianom.

Czy dentysta boli? Dowiedz się, jak nowoczesne metody znieczulenia sprawiają, że leczenie zębów jest komfortowe i bezbolesne.

Dowiedz się, jak wygląda stały aparat na zęby, jakie są jego rodzaje oraz różnice w estetyce. Sprawdź, co wybrać dla swojego uśmiechu!

Ile kanałów ma ząb 6? Dowiedz się, jak złożona budowa kanałów wpływa na leczenie kanałowe i co warto wiedzieć o zębie trzonowym.

Poznaj najważniejsze objawy raka dna jamy ustnej. Dowiedz się, na co zwrócić uwagę, aby nie bagatelizować niepokojących sygnałów zdrowotnych.

Zidentyfikuj objawy przepełnienia kanału zęba, aby uniknąć bólu i powikłań. Dowiedz się, jak rozpoznać problem i co robić w takiej sytuacji.